Search
1 - 12 of 12 items
The Detection and Analysis of Factors Associated with the Incidence of Lumpy Skin Disease in Cattle Transhipped at Merak Port, Indonesia
Abstract : 98
PDF : 274
Dietary Honeysuckle (Lonicera japonica) Extract Enhances Resistance to Infectious Myonecrosis Virus in Whiteleg Shrimp (Litopenaeus vannamei)
Abstract : 42
PDF : 84
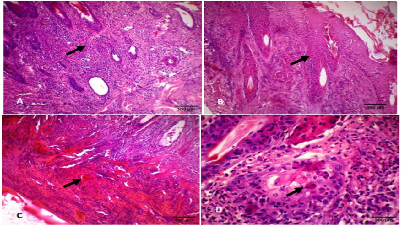
Pathological Investigation of Lumpy Skin Disease in Cattle from Sleman, Indonesia
Abstract : 35
PDF : 67
Risk Factors and Incidence of Feline Lower Urinary Tract Disease (FLUTD) in Sahabat Satwa Genteng Animal Clinic
Abstract : 1615
PDF : 4430
Pathogenicity of Clostridium perfringens Philippine Isolate in Necrotic Enteritis Across Broiler Growth Stages
Abstract : 75
PDF : 363
First Report of Aeromonas schubertii Infection in Striped Snakehead Channa striata (Bloch, 1793) Fingerlings in Malaysia
Abstract : 1474
PDF : 504
Isolation and Identification of Aspergillus sp. in Tilapia (Oreochromis sp.) Sold for Consumption in Bogor
Abstract : 770
PDF : 823
Clinical Signs and Haematology Profiles of Beagle Dogs with Tick Infestation
Abstract : 569
PDF : 635
Fracture Treatment using External Skeletal Fixation (ESF) Method in Golden Hornbill (Rhyticeros undulates)
Abstract : 572
PDF : 842
1 - 12 of 12 items





11.jpg)




















